|
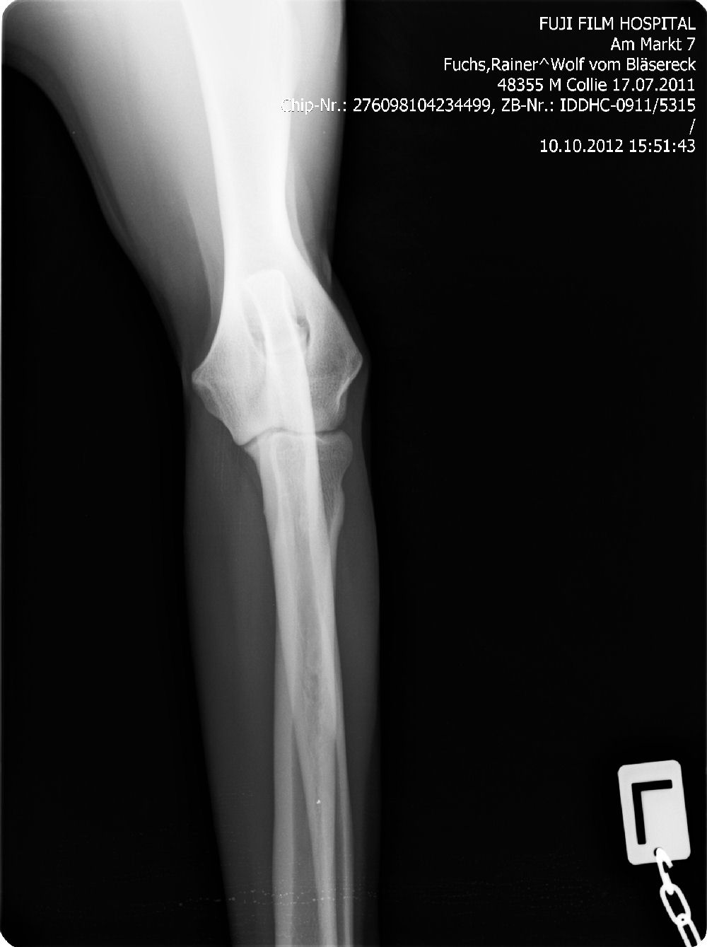
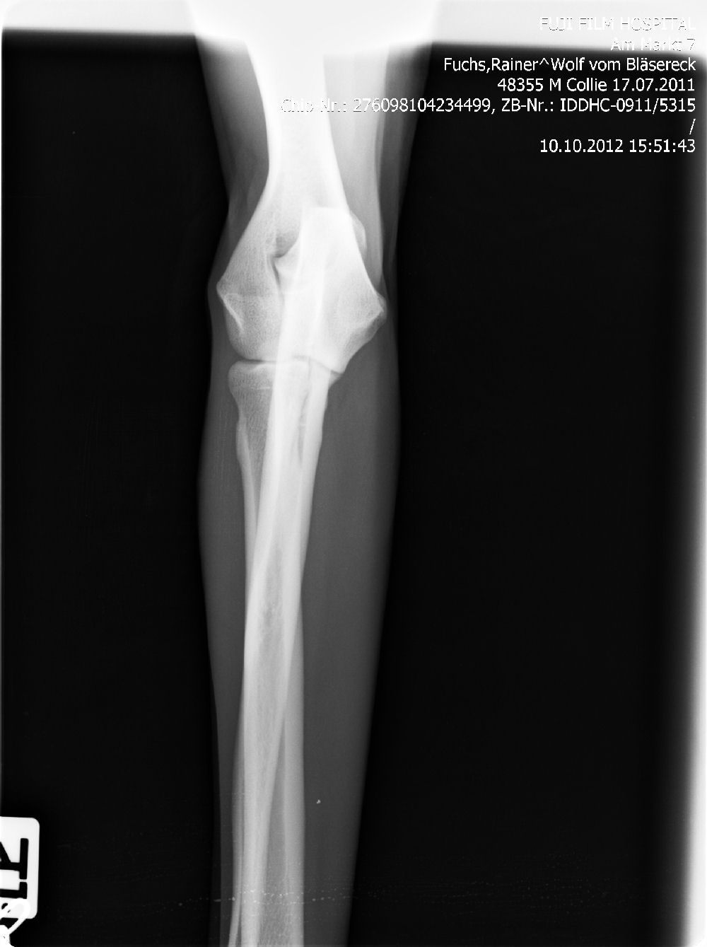
Ab dem Jahr 2008 wird nur noch Digitales Röntgen durchgeführt, da wir auch hier wieder führend und transparent sind, zeigen wir gern die Röntgenbilder ! Bei Züchtern, die dies nicht tun, haben Sie weniger Sicherheit !
Colliehof - Sicher - Transparent - Führend !


|